Vratite samopouzdanje koje zaslužujete

Galerija osmijeha

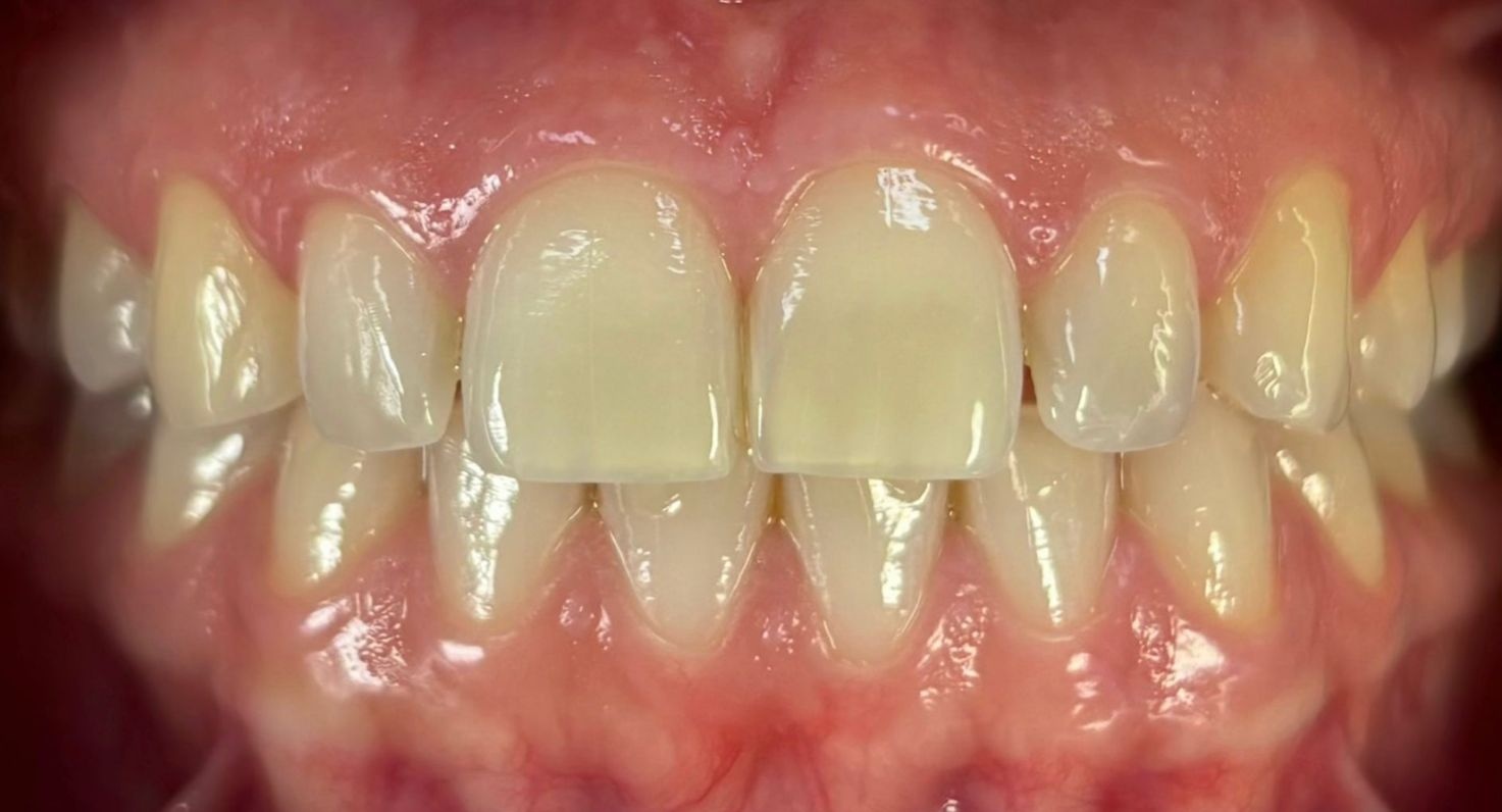
Svaki osmijeh koji vidite u našoj galeriji rezultat je pažljivog planiranja, stručnosti našeg tima i najsuvremenije dentalne tehnologije. Razumijemo da se iza svakog “prije” krije želja za promjenom, a iza svakog “poslije” novo samopouzdanje. Bilo da se radi o estetskim ljuskicama, implantologiji ili kompletnim rekonstrukcijama, naš cilj je uvijek isti – prirodan izgled i dugotrajno zdravlje vaših zuba. Pregledajte naše radove i zamislite što možemo učiniti za vas.

Prije
Poslije
Prije
Poslije
Prije
Poslije

Iskustva koja govore više od slika

Što kažu oni koji su nam povjerili svoj osmijeh?

Slike prikazuju naš rad, ali riječi naših pacijenata govore o brizi, pažnji i nježnosti koju pružamo. Vaše povjerenje je naš najveći uspjeh, a vaš novi osmijeh naša najbolja preporuka.

Scroll to Top